新闻中心

我院引进新技术除霉菌,尽显卓越医疗风

发布时间: 2024-09-24
病 例 报 道


图片
患者,王某,男,55岁,既往糖尿病病史,因“咳嗽、咳痰1个月余,伴痰血1周,夜间咳嗽加重,近期体重明显减轻10kg“,辗转多地诊治,效果不佳。经多方打听后,王某得知信丰县中医院引进了一项呼吸感染诊断新技术,可快速辅助疾病的确诊。于是,王某随即来到信丰县中医院肺病科(呼吸内科),以期寻求进一步的治疗。
图片




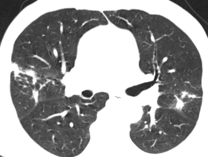
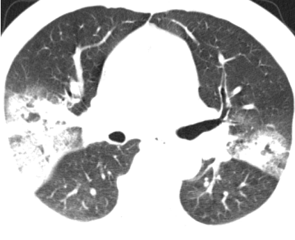
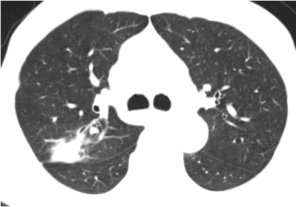
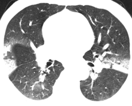
入住肺病科(呼吸内科)后,医生为患者完善了胸部CT及相关检查。影像结果显示:“双肺见片状密度增高影及实变影,边界模糊,提示双肺感染。”针对患者病情,科室立即组织了病例讨论。专家们凭借着深厚的医学知识和丰富的临床经验,深入分析病情,制定出了科学合理的诊疗方案,一天内完成了相关检查。

图片
图片
图片
图片

治疗前CT影像▲


图片

医护团队制定治疗方案▲






检查术后,将 BALF 送实验室检查 ,结果提示为小孢根霉。参考《中国毛霉菌临床诊疗专家共识(2022)》,医生给予王某艾沙康唑静滴及序贯口服治疗。在治疗过程中,医护人员密切关注王某的病情变化,精心调整治疗方案,确保治疗的有效性和安全性。

图片




图片




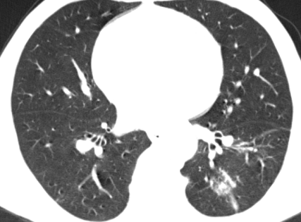
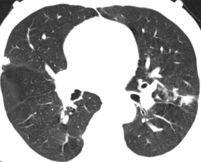
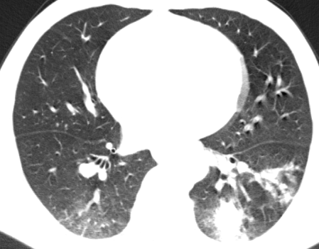
经过精心治疗,王某的症状完全消失。一个月后复查胸部 CT,结果显示较前明显吸收,这标志着王某的病情得到了有效控制,向着康复迈出了坚实的一步。信丰县中医院肺病科专家团队以卓越的医疗水平和高度的责任心,再次为患者带来了健康和希望,也赢得了广大患者的信任和赞誉。

图片
图片
图片
图片

治疗后CT影像▲








小孢根霉疾病科普


图片

小孢根霉属于根霉属、毛霉目;其中毛霉目中根霉菌最常见,广泛分布于空气。发霉食物和土壤中,其孢子可通过吸入、食入、外伤等途径感染致病。

毛霉病常发生于患有严重基础疾病的患者,如控制不良的糖尿病、血液系统恶性肿瘤、造血干细胞移植、免疫抑制剂治疗、重症流感、烧伤、AIDS、外伤等。

肺毛霉病临床表现缺乏特异性,表现为持续高热、咳嗽、可伴咯血或胸痛、抗细菌治疗无效。早期呈进行性非特异性支气管炎征象,病情进展可出现坏死性肺炎表现。肺部影像学表现包块肺结节(初次就诊大于10个)、锲型改变、空洞、反晕轮征。

毛霉菌对大多数抗真菌药物存在天然耐药或不敏感;治疗主要是两性霉素B、艾沙康唑抗真菌治疗。

肺部感染的治疗原则主要是尽快明确病原菌,针对病原菌高效抗感染治疗,既能减轻患者病痛,又能节省诊疗费用。

我科常规开展肺结节、肺肿块穿刺活检术、支气管镜下刷检术、支气管镜下诊断性肺泡灌洗术、TBLB术、异物钳取、支气管镜下治疗等。

支气管镜检查预约电话:

曾医师:18379824494

科室电话:0797-3307039








医生简介






图片

廖幼萍

大内科主任,副主任医师

赣州市心血管医学分会委员,1990年毕业于赣南医学院临床医学专业,从事临床内科工作30余年,曾在多家省级三级甲等医院心血管内科进修学习,临床经验丰富,尤其擅长心血管内科及呼吸内科疾病诊治。





图片

吴连忠

科主任,主治医师

从事内科临床工作20余年,曾先后在赣州市人民医院及南昌大学第一附属医院等多家医院进修心血管内科、呼吸内科、内分泌科。具有扎实的医学功底,擅长心血管疾病、呼吸系统疾病、高血压病、糖尿病、甲亢、甲减和急危重症病人的救治,具有丰富的临床经验。





图片

卢建鹏

主治医师

2013年毕业于江西中医药大学,毕业后一直从事内科工作,从业多年,具有较丰富的临床工作经验,擅长内科常见病、多发病(高血压病、肺源性心脏病、慢性支气管炎、肺气肿、支气管哮喘、糖尿病、肺炎、冠心病、心律失常等)的诊治工作。




图片

钟慧

主治医师

2011年毕业于江西中医药大学,毕业后一直从事内科工作,对普通内科常见、多发病的诊治积累了一定的临床经验,中西医相结合,临床疗效满意。




图片

曾帆

主治医师

2018年毕业于安徽中医药大学,毕业后一直从事内科工作,2021年于合肥市第二人民医院进修“呼吸介入”,目前擅长呼吸系统常见病、多发病的中西结合治疗(如慢阻肺、肺心病、肺部感染、肺癌、间质性肺炎、不明原因发热、肺脓肿、呼吸衰竭等);熟练操作支气管镜肺活检、肺穿刺等常见呼吸介入操作。




图片

施先哲

毕业于遵义医学院,毕业后一直从事内科工作,擅长呼吸系统常见病及多发病的诊治,如肺源性心脏病、慢性阻塞性肺疾病、急慢性支气管炎、各类肺炎、支气管哮喘,在心脑血管领域也积累了一定的临床经验,如心肌梗死、急性心力衰竭、心房颤动、阵发性室性心动过速及室上性心动过速,高血压病,脑梗死等的诊治。




科室简介



图片

信丰县中医院肺病科(呼吸内科)是我院重点临床科室,坚持人才强科的战略,促进学科发展,不断加强人才队伍建设、优化人才结构、提高医疗诊疗能力,提升医疗服务质量;我院肺病科(呼吸内科)的服务宗旨:保证三个满意,即患者满意、同行满意、专家满意;目前科室医护共有17人,其中副主任医师1人,主治医师3名,住院医师2名,主管护师1名,护师3名,护士7名;科室配备先进的奥林巴斯电子支气管镜(BF-Q170)、无创呼吸机、高频氧疗仪、震动排痰仪等;常规开展支气管镜检查、活检、异物钳取、刷检等;同时开展多种中医特色治疗(益肺督灸、耳穴埋豆、穴位贴敷等)治疗慢性呼吸道疾病疗效显著。科室擅长于慢性阻塞性肺疾病(肺气肿)、支气管哮喘、肺部感染、间质性肺病、支气管扩张、肺源性心脏病、肺结核、液气胸、肺癌、肺脓肿、呼吸衰竭、睡眠呼吸暂停综合征等呼吸系统常见病、多发病的中西结合综合诊疗。