新闻中心

生命守护 | 心梗患者PCI术后重获新生,家属赠锦旗致谢

发布时间: 2025-05-07

近日,我院心血管内科再次收到一面鲜艳的锦旗。这面锦旗来自一位急性心梗康复出院的患者,其家属满怀感激地将锦旗送到医护人员手中,感谢他们在生死关头给予的及时救治和悉心照料。这面锦旗不仅是对医护人员的肯定,更是生命奇迹的见证。

图片





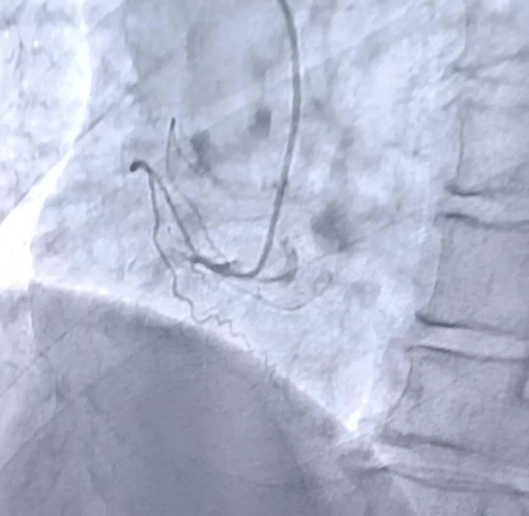
当时这位患者因突发胸痛被紧急送往我院,经诊断为急性心肌梗死。时间就是生命,心血管内科医护团队迅速启动绿色通道,为患者进行了冠状动脉造影术,并成功实施了介入手术,开通了堵塞的血管。术后,患者恢复良好,经过一段时间的住院治疗,最终痊愈出院。

图片

(术前造影图像)


图片

(术后血管开通造影图像)


“如果没有你们的及时救治,我老伴可能已经不在人世了,谢谢你们给他第二次生命,谢谢!”患者家属握着医生的手,激动地说道。这面锦旗不仅是对医护人员的感谢,更是对生命的敬畏和对医疗技术的信任。









 
【医者初心】锦旗是荣誉,更是责任

“每一面锦旗都在鞭策我们:用更快的速度、更精的技术守护每一颗心脏。看到患者康复出院,是我们最大的欣慰。同时也感谢大家对信丰县中医院心血管内科的信任,我们科室会尽我们最大努力对患者进行诊治。”"

——心血管内科主任陈明峰


作为心血管内科的医护人员,我们每天都在与时间赛跑,与死神搏斗。每一次成功救治的背后,都是团队协作、技术精湛和无私奉献的结果。面对每一位患者,我们不仅要用专业的技术救治他们的身体,更要用温暖的态度抚慰他们的心灵。

图片
冠心病疾病科普
图片

冠心病:沉默的"心脏杀手”

冠心病(冠状动脉粥样硬化性心脏病)是一种常见的心血管疾病,主要是由于冠状动脉内壁的脂质沉积形成斑块,导致血管狭窄或堵塞,进而引发心肌缺血、心绞痛甚至心肌梗死。冠心病的危险因素包括高血压、高血脂、糖尿病、吸烟、肥胖、缺乏运动等。

1
冠心病的常见症状:

- 胸痛或胸闷,尤其在活动或情绪激动时加重。

- 心悸、气短。

- 乏力、头晕。

- 严重时可能出现心梗,表现为剧烈胸痛、出汗、恶心等。


图片
2
预防冠心病的措施

- 控制血压、血脂、血糖。

- 戒烟限酒。

- 保持健康饮食,减少高脂肪、高盐食物的摄入。

- 适量运动,保持体重。

- 定期体检,早发现早治疗。


冠状动脉造影术

image.png

冠状动脉造影术是诊断冠心病的“金标准”,通过向冠状动脉内注入造影剂,医生可以清晰地看到血管的狭窄或堵塞情况。对于急性心肌梗死患者,冠状动脉造影术不仅是诊断手段,更是治疗的关键步骤。


图片



图片
冠状动脉造影术的必要性
1
明确诊断

冠心病患者常表现为胸痛、胸闷等症状,但这些症状也可能由其他疾病引起。冠状动脉造影术可以直观地显示冠状动脉的狭窄或堵塞情况,帮助医生明确诊断,避免误诊或漏诊。




2
 评估病情严重程度

通过冠状动脉造影术,医生可以准确评估冠状动脉狭窄的程度、位置和范围,判断病情的严重性,为制定治疗方案提供科学依据。


3
指导治疗决策

根据造影结果,医生可以决定是否需要介入治疗(如支架植入)或外科手术(如冠状动脉搭桥术)。对于急性心肌梗死患者,造影术可以快速定位堵塞的血管,为紧急介入治疗争取时间。


4
评估治疗效果

对于已经接受介入治疗或搭桥手术的患者,冠状动脉造影术可以评估治疗效果,观察血管是否再狭窄或支架是否通畅。


5
 排除其他疾病

对于疑似冠心病的患者,造影术可以帮助排除其他可能导致类似症状的疾病,如心肌病、心包炎等。


图片


图片
冠状动脉造影术的重要性
1
挽救生命

对于急性心肌梗死患者,冠状动脉造影术是开通堵塞血管的关键步骤。及时进行介入治疗可以挽救濒死的心肌,显著降低死亡率和并发症的发生。




2
 改善生活质量

对于慢性冠心病患者,冠状动脉造影术可以帮助医生制定个性化的治疗方案,缓解心绞痛症状,提高患者的生活质量。


3
预防心梗和猝死

通过早期发现冠状动脉狭窄,医生可以采取干预措施,如药物治疗、生活方式调整或介入治疗,预防心肌梗死和猝死的发生。


4
提高治疗精准性

冠状动脉造影术为医生提供了直观的影像学资料,使治疗更加精准和有效,避免了盲目治疗的风险。


5
 推动医学进步

冠状动脉造影术是心血管介入治疗的基础,它的发展和应用推动了冠心病诊疗技术的不断进步,为更多患者带来了生的希望。


冠状动脉造影术的安全性

    随着技术的进步,冠状动脉造影术已成为一项相对安全的检查手段。虽然存在一定的风险(如造影剂过敏、血管损伤等),但在经验丰富的医生操作下,并发症发生率极低。患者无需过度担心,应积极配合医生的建议。

图片


图片
心血管内科简介

图片

我院心血管内科对冠心病、顽固性高血压、急性心肌梗死、慢性心功能不全、心律失常等心血管疾病采用中西医结合治疗取得良好的效果和社会好评;特别是近年来随着我科心血管介入的开展,对急性心肌梗死、心律失常、先天性心脏病、主动脉夹层  等疾病,可以常规开展各类介入治疗。我科正逐渐发展成以微创介入治疗为主要治疗手段的科室,科室现有心脏彩色多普勒超声  、动态心电图记录仪、心脏除颤仪、多功能心电监护仪、大型DSA机及主动脉内球囊反搏仪等先进专科仪器设备。

中西医结合特色治疗:

充分发挥中西医结合的优势,现采用以下治疗对常见心血管疾病进行诊治,取得良好疗效。 

介入治疗:

介入治疗作为新型诊断与治疗心血管疾病的技术,经过穿刺体表血管,在数字减影的连续投照下,送入心脏导管,通过特定的心脏导管操作技术对心脏病进行确诊和治疗的诊治方法,它是较为先进的心脏病诊治方法,进展也非常迅速,它介于内科治疗与外科手术治疗之间,是一种有创的诊治方法。近几年,我科现已开展近2000余例介入手术,其中包括冠状动脉造影术,PTCA   +支架植入术,心房颤动、室性早搏、预激综合征等射频消融术  ,心脏起搏器植入术,房间隔缺损封堵术、室间隔缺损封堵术、卵圆孔  封堵术,血管内超声等介入手术。

image.png

中医特色:运用针灸、推拿、中药内服外敷等方法,改善心血管功能,缓解症状,提高生活质量。 

西医优势:依托先进的检查设备(如心脏彩超、冠脉造影等)和成熟的治疗技术(如支架植入、起搏器安装等),精准诊断和治疗。 

康复指导:为患者提供饮食、运动、心理等方面的健康指导,帮助患者养成健康的生活方式,预防疾病复发。


科室地址:信丰县中医院(城南院区)住院大楼9楼

科室电话:0797-7219079